Vscan Air SL
Краткий обзор
Не пропустите ни одного удара между исследованиями сердца и сосудов и другими оценками

Приложение Vscan Air
Подробная информация по продукту Vscan Air SL
ОПЦИИ
Получите больше того, что вам нужно, в одном портативном устройстве
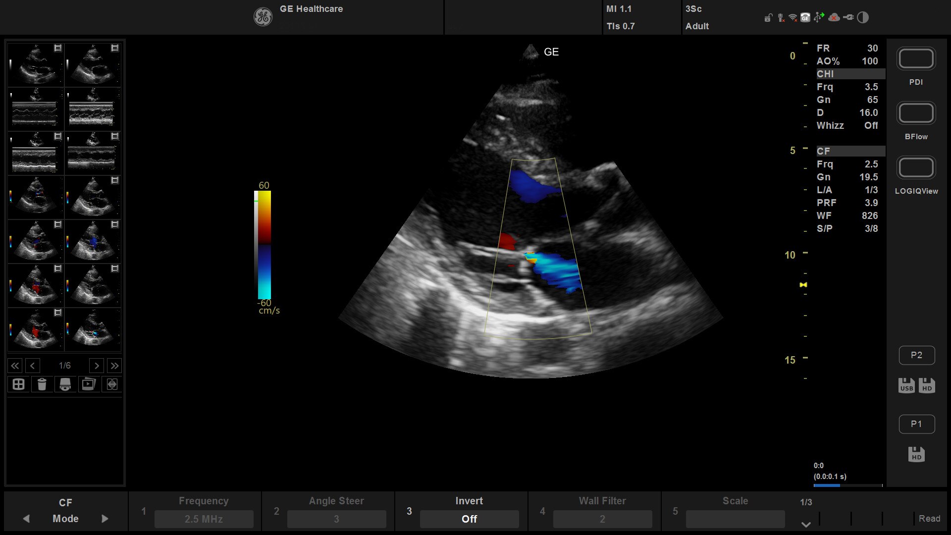
Качество изображений, на которое вы можете положиться

Ключевые функции для всех пользователей и специализаций
Конфиденциальность и безопасность данных
Vscan Air SL с Caption AI
Индивидуальные и корпоративные решения
Digital Tools (Цифровые Инструменты) для Vscan Air
Портативная ультразвуковая система для проведения исследований по вашей специализации
Поддержка
Часто задаваемые вопросы
Примечания
2. Решение MyRemoteShare не предназначено для диагностики.
3. Устройство допускается к использованию вне профессиональных медицинских учреждений, но с определёнными ограничениями. Использование ограничено экологическими свойствами, описанными в руководстве пользователя. За более подробными сведениями обращайтесь в местное торговое представительство компании GE HealthCare.
4. MylmageCloud совместим с Centricity Universal Viewer Zero Footprint.
*Система ультразвуковая диагностическая медицинская портативная Vscan Air с принадлежностями.