Совершенно новые технологии градиентной катушки


product-product-categories-magnetic-resonance-imaging-signa premier-1.png
product-product-categories-magnetic-resonance-imaging-signa premier-2.png
product-product-categories-magnetic-resonance-imaging-signa premier-3.png

Эффективное сочетание градиента и апертуры

Перед нами была поставлена непростая задача - создать систему МРТ с высокоэффективной градиентной катушкой, сохраняя при этом широкую апертуру. Мы достигли этой цели и нашли способ поддерживать термостабильность с амплитудой 80 мТл/м и скоростью нарастания градиента 200 Тл/м/с при широкой апертуре 70 см. Инновационная технология градиентной катушки позволяет системе SIGNA Premier увеличить продолжительность рабочего цикла для протоколов Human Connectome (диффузионно-тензорная визуализация с использованием множественных значений b-фактора и фМРТ высокого разрешения), а также для визуализации высокого разрешения всего тела, опорно-двигательного аппарата и сердца без ущерба для комфорта пациента или размера апертуры. Таким образом, градиентную катушку Super G можно назвать новым эталоном среди градиентных катушек, встроенных в томографы с апертурой 70 см.

амплитуда 80 мТл/м
скорость нарастания 200 Тл/м/с

product-product-categories-magnetic-resonance-imaging-signa premier-fmri.png

Более высокая согласованность результатов
и стабильность для высокоточной фМРТ
и других сложных исследований

Полностью полая конструкция проводника с независимыми контурами охлаждения и сбалансированность усилий позволила добиться невероятной устойчивости и минимальной вибрации, что обеспечивает превосходную стабильность системы и позволяет применять ее в самых сложных клинических случаях.


Two.jpg

Первоклассное качество изображений,
полученных с высокой скоростью

Скорость играет важную роль в составлении протоколов исследований для клинического применения. В системе SIGNA Premier используется три технологии ускорения работы (HyperBand*, HyperSense* и HyperCube*), которые позволяют получать изображения высокого разрешения с непревзойденной скоростью. При совместном использовании с высокоэффективной градиентной катушкой SuperG и с учетом наибольшего количества РЧ каналов среди всех МРТ, эти технологии позволяют реализовывать расширенные протоколы визуализации в рамках рутинных исследований.


HyperBand*

product-product-categories-magnetic-resonance-imaging-signa premier-icon1.png

Обеспечивает сокращение времени сканирования, одновременно захватывая несколько срезов в нескольких локализациях

HyperSense*

product-product-categories-magnetic-resonance-imaging-signa premier-icon2.png

Метод ускорения, который позволяет сократить время сканирования до 8 раз** с сохранением разрешения

HyperCube*

product-product-categories-magnetic-resonance-imaging-signa premier-icon3.png

Избирательное возбуждение для более высокого пространственного разрешения и сокращения времени сканирования

*Опция
**По сравнению с традиционными методами визуализации

Ощущение свободы благодаря катушке
с технологией AIR

Нашей целью было создание МРТ будущего, который может удовлетворить как потребности врача, так и пациента. Чтобы исследования проходили максимально комфортно без потери качества визуализации, мы разработали инновационную катушку с технологией AIR4,5 со сверхлегкой конструкцией, которая комфортно облегает тело пациента.

  • Конструкция для любых форм

    Абсолютно свободное размещение катушек является основной идеей технологии AIR. Гибкая конструкция позволяет повысить качество исследования и получаемого сигнала. Таким образом, AIR открывает новые горизонты визуализации.
  • Революция начинается с одной катушки

    Для создания более легкой адаптивной катушки, которая подстраивается под уникальную анатомию каждого пациента, мы начали с технологии, лежащей в ее основе. Элементы катушки с технологией AIR состоят из двух компонентов — проводника Inca и модуля E-mode. Минималистичная конструкция этой мощной катушки делает ее не только легче, но и одновременно увеличивает скорость сканирования и улучшает отношение сигнал/шум, независимо от положения. Кроме того, она обеспечивает гибкость для принятия любой формы без снижения качества изображения.

    Масса < 0,3 г/см2 
  • Уникальное покрытие на каждом канале

    За счет более гибкой конструкции по сравнению с традиционными электромеханическими контурами элементы катушки с технологией AIR накладываются друга на друга, не искажая при этом качество сигнала. В результате чего корпус катушки обеспечивает непревзойденное высокоплотное покрытие всего тела и возможность проведения исследования в нескольких положениях с использованием более чем 140 каналов. Благодаря высокой плотности каналов также повышается скорость параллельной визуализации и увеличивается глубина проникновения сигнала. Пациенты и операторы смогут оценить легкий вес катушки, а радиологи — дополнительные каналы, обеспечивающие превосходное качество изображений. Таким образом, катушка с технологией AIR имеет очевидные преимущества для всех.

    48-канальная
    катушка для головы
    c охватом более 35 см
    30-канальная
    передняя катушка
    c охватом более 65 см
    60-канальная
    задняя катушка
    с охватом более 110 см
  • 48-канальная катушка для головы и комплект катушек

    48-канальная катушка для исследования головы с технологией AIR обеспечивает феноменальную производительность благодаря адаптируемой под анатомию пациента конструкции. Она подстраивается под анатомические особенности практически любого пациента, а также повышает качество сигнала за счет близкого расположения катушки к анатомическому участку. Использование данной катушки расширяет клинические возможности усовершенствованных приложений для визуализации, например технологий HyperWorks*, а также позволяет проводить фМРТ с синхронизацией по ЭКГ.

    Подходит 99,99% пациентов

Расширенные возможности диффузионной визуализации




product-product-categories-magnetic-resonance-imaging-signa premier-Image2.png

Одноимульсная диффузионная визуализация
b = 10 000 с/мм2
TE = 92,8 мс
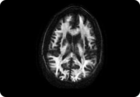
product-product-categories-magnetic-resonance-imaging-signa premier-Image1.png

С несколькими факторами диффузии
Изотропное разрешение 2,5 мм
b = 1 000 и 2 500 с/мм2

Диффузионная МРТ никогда не была настолько
продвинутой, как сейчас

Действующий стандарт диффузионной МРТ ограничен анатомическими участками, подверженными сильным искажениям. В системе SIGNA Premier используются интеллектуальные решения и продвинутый пакет приложений для диффузионной МРТ, включая такие приложения как PROGRES*, SuperG Boost* и MUSE*, для автоматического выявления и устранения искажений, артефактов движения и иных артефактов. Для этого не требуется вмешательство со стороны пользователя, дополнительное время сканирования или сложные рабочие процессы.

oduct-product-categories-magnetic-resonance-imaging-signa premier-Co-Registration Icon.png
Улучшение
одновременной регистрации
product-product-categories-magnetic-resonance-imaging-signa premier-Visualization Icon.png
Улучшение
качества визуализации
большинства сложных областей
product-product-categories-magnetic-resonance-imaging-signa premier-Resolution Icon.png
Более
высокое разрешение
без каких-либо ограничений

Заряжая будущее технологий МРТ

Наша платформа повышения производительности SIGNA Works* преодалевает границы возможного. Приложение MAGiC DWI* позволяет рассчитывать карты ADC. Приложения для рабочей станции врача позволяют оптимизировать обработку изображения для повышения эффективности и оптимизации рабочего процесса. Вы можете получать результаты в 8 раз быстрее без потери качества изображения с помощью наших приложений HyperWorks.

  • AIR Recon DL

    AIR Recon DL это совершенно новый алгоритм реконструкции на основе глубокого обучения, который подавляет шумы и артефакты изображения непосредственно в ходе реконструкции, используя необработанные данные, что существенно улучшает качество изображений, а также позволяет сократить время исследования до 50%.*

    Узнать больше об AIR Recon DL >

    *По сравнению с предыдущим поколением технологий реконструкции GE HealthCare.

     

Галерея изображений

  1. Томограф магнитно-резонансный SIGNA Premier с принадлежностями.
  2. Магнит с активным экранированием и встроенной РЧ-катушкой.
  3. По сравнению с традиционными методами визуализации.
  4. Катушки гибкие для исследований с технологией AIR.
  5. AIR (adaptive Imaging Receive) – адаптивная технология гибких и эргономичных РЧ-катушек для получения изображений высокого качества и применения продвинутых приложений.
  6. По сравнению с катушками предыдущих поколений.
*Опция

JB01276RU