Valve ASSIST 2 для транскатетерной имплантации аортального клапана

product-product-categories-Intervantional - 2016-valve_11.jpgПланирование

Функция автоматической сегментации аорты и определения параметров клапана обеспечивает точный расчет размеров клапана.

product-product-categories-Intervantional - 2016-valve_12.jpgКонтроль

Контроль с помощью совмещения с трехмерным изображением повышает качество контрастной визуализации движущихся структур.

product-product-categories-Intervantional - 2016-valve_13.jpgОценка

Оценка потенциальной регургитации с помощью высококачественной контрастной визуализации.

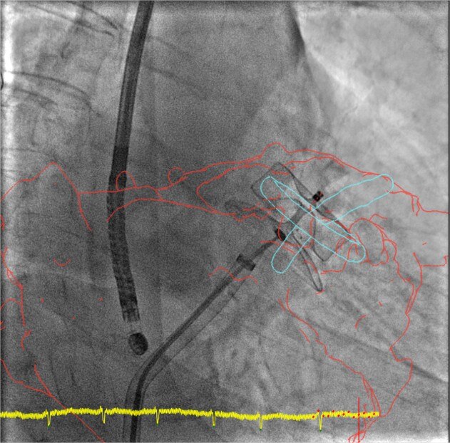
Использование VALVE ASSIST 2 в процедуре закрытия ушка левого предсердия

product-product-categories-Intervantional - 2016-valve_21.jpgПланирование

Возможность сегментировать трехмерные КТ-изображения левого предсердия для точного планирования процедуры. Включает:

- морфологию;
- идеальную зону размещения;
- оптимальный размер устройства.
product-product-categories-Intervantional - 2016-valve_22.jpgКонтроль

Функция совмещения трехмерных изображений позволяет контролировать каждый этап, начиная с транссептальной пункции и заканчивая разверткой устройства. Существенно сокращает время процедуры, а также количество используемого контрастного вещества.

product-product-categories-Intervantional - 2016-valve_23.jpgОценка

После развертывания устройства предусматривает возможность выполнения эхокардиографии, которая позволяет удостовериться в правильной локализации устройства и провести оценку силу сжатия, перед тем как закончить выполнения процедуры3.

Публикации

Booklet

Valve ASSIST 2 and VIVIDTM E95 Utilizing advanced imaging to Plan, Guide, and Assess Left Atrium Appendage Closure procedures.

Dr. Garot and Dr. Cormier. Institut Cardiovasculaire Paris Sud, Massy (France)

Presentation

Benefits of Valve ASSIST 2 for LAAC procedures

Dr. Spaziano, McGill University Health Center, Montreal, Canada

product-product-categories-Intervantional - 2016-article_article.jpg

Scientific publication

Valve ASSIST 2 : Value of Image Fusion Coronary angiography for the detection of CABG

J. Plessis et al.

J Am Heart Assoc. 2016 Jun 10;5(6). pii: e002233. doi: 10.1161/JAHA.115.002233.
product-product-categories-Intervantional - 2016-article_article.jpg

Scientific publication

TCT-624 Novel Integrated 3D Multi-Detector Computed Tomography and Fluoroscopy Fusion for Left Atrial Appendage Occlusion Procedures

A. Roy et al.

Catheter Cardiovasc Interv 2017;Mar 17, DOI:10.1002/ccd.26998

Сопутствующие продукты

1. Решение Valve ASSIST 2 включает приложения TAVI Analysis и HeartVision 2. Для его работы требуется рабочая станция AW с установленными программами Volume Viewer и Volume Viewer Innova. Данные приложения приобретаются отдельно.

2. Novel Integrated 3D Multi-Detector Computed Tomography and Fluoroscopy Fusion for Left Atrial Appendage Occlusion Procedures - Publication in JACC, Volume 68, Issue 18_S, November 2016 https://content.onlinejacc.org/article.aspx?articleid=2576729

3. Функция ультразвуковой визуализации не входит в пакет Valve ASSIST 2.

JB01690RU